脳ドック
「脳ドック」で認知症を早期発見
「脳ドック」では、症状を起こしていない脳梗塞や微小出血、くも膜下出血の原因となり得る脳動脈瘤、脳腫瘍、頭に血流を送っている頚動脈の狭窄などを発見することができます。
MRIを使い、脳に器質的な異常(出血や梗塞など)がないかどうかチェックします。
内臓疾患の有無を見るための採血や心電図も検査します。
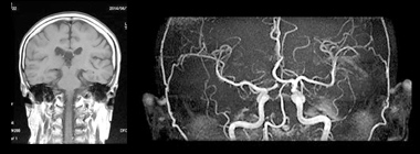
MRI検査
放射線を使わずに磁場と電波を使って体の中を見るため、被ばくが無く安全な画像診断装置です。主に脳卒中や認知症に関わりのある脳血管障害の早期発見などに有用です。

血液検査・心電図
血液検査・心電図による内蔵疾患の検査を行います。
ご予約について
|
ご予約 |
電話または外来受付、事務所へお問合せください。 |
|---|---|
|
窓 口 |
受付時間:月〜土 午前9時〜午後5時(祝日・年末年始除く) TEL:072-482-2011 |
料金について
価格は全て消費税込みです。
助成金制度がご利用できるかは、病院窓口又は市町村役所担当者にお問合せください。
また、助成金額が変更になっている場合もございますのでお問合せください。
| 一般の方 | 泉南市 | 阪南市 | |
|---|---|---|---|
| 通常価格 | 28,000円 | 28,000円 | 28,000円 |
| 助成金 | - | 20,000円 | 22,400円 |
| ご負担額 | 28,000円 | 8,000円 | 5,600円 |











